Meestal is er een varus of valgus (O of X) beenas, met mediale (binnenkant, varus) of laterale (buitenkant, valgus) artrose. Door de osteotomie wordt de vorm van het been veranderd, het zieke deel ontlast, en daardoor de pijn verminderd en de functie verbeterd. Bijkomend effect is het vaak uit kunnen stellen van een knie prothese, gemiddeld genomen lukt dat in 80% van de patiënten voor 10 jaar of langer. Een unloader brace wordt vaak een tijd (weken) gedragen om een idee te krijgen van het effect van de ingreep. De brace kan ook voor langere tijd gebruikt worden, ter overbrugging van de tijd totdat voor een knie prothese gekozen wordt.
Soms veroorzaakt een stands afwijking een overbelasting van een al beschadigd onderdeel van de knie, zoals een meniscus of een van de knie banden. De osteotomie wordt dan gebruikt om de reconstructie van het beschadigde deel te ontlasten en te beschermen tegen het opnieuw kapot gaan van de reconstructie door die overbelasting. Het kan ook zo zijn dat de stands afwijking in eerste instantie over het hoofd gezien is en geleid heeft tot het opnieuw kapot gaan van de reconstructie. In deze gevallen zal naast de reconstructie ook een stands correctie geadviseerd worden. Vaak valt dit tegen, de operatie is groter en de revalidatie langer.
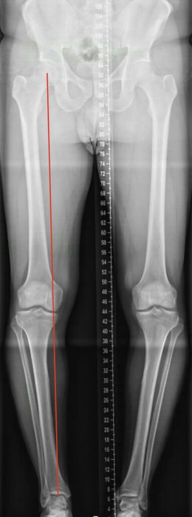
Varus


Dit is een typisch voorbeeld van een varus beenas, waarbij de belasting meer aan de binnenkant zit (rode lijn). Na de ingreep is de belastinglijn verplaatst.
Valgus


Hier is duidelijk te zien dat de belasting juist meer aan de buitenkant zit, na de correctie precies door het midden.
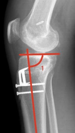
Slope


Het gewrichtsoppervlak van de knie heeft een hellingshoek tov het onderbeen (1), dit is de zogenaamde slope. Hoe groter de hoek, hoe groter de neiging van het femur om naar achter te schuiven tov het onderbeen (pijlen). Hoe groter, hoe meer kracht op de VKB. Deze hoek is duidelijk minder groot na de ingreep. En dus de krachten minder op de VKB.
Behandeling
Welk type standcorrectie nodig is hangt af van wat gecorrigeerd moet worden en in welk vlak. De correctie kan in het bovenbeen (femur) of onderbeen (tibia) of beide plaats vinden. Dat hangt af van in welk bot (femur of tibia) een vormafwijking aanwezig is die de stands afwijking veroorzaakt. In alle drie de vlakken kan er een vorm afwijking zijn. Meestal zal de afwijking in het frontale vlak (dwz wat je ziet als je van voren er tegen aan kijkt) aanwezig zijn; varus of valgus. Uit analyse van de beenas foto en een opname van de zijkant van het onderbeen, blijkt waar de vorm afwijking zit en kan de bijpassende operatie besproken en gepland worden. Tegelijkertijd kan een ingreep aan het gewricht zelf gedaan worden; meniscus en/of band reconstructies. Soms moeten de tunnels van een vorige (kruis)band operatie opgevuld worden.
Een stands afwijking in een wat onbekender vlak, het zgn sagittale vlak (dwz als je er van de zijkant tegenaan kijkt) verhoogt het risico op knie band en meniscus letsel en veroorzaakt overbelasting van een al herstelde kruisband en meniscus. De hellingshoek die het knie gewrichtsoppervlak maakt met de as van het onderbeen wordt de slope genoemd, normaal is deze hoek ongeveer 7°. Een slope van meer dan 13° wordt als afwijkend beschouwd.
Als er een correctie van een varus beenas gedaan moet worden zal de correctie (meestal) in het onderbeen plaatsvinden; een open wig valgiserende tibiakop osteotomie. Correctie van een valgus beenas vindt (ook weer meestal) plaats in het bovenbeen; een gesloten wig variserende distale femur osteotomie. Slope correcties worden in het onderbeen gedaan; een anterieur gesloten wig tibia osteotomie.
Soorten correcties
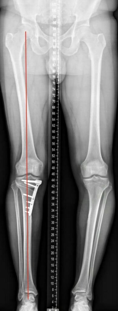
Varus

Post-operatieve foto na een open wig tibia osteotomie.
Het bot wordt ingezaagd tot aan het scharnier (1), daarna wordt er een opening gemaakt tussen de bot helften, de wig (2), de bot delen worden op hun plek gehouden door een plaat (3).
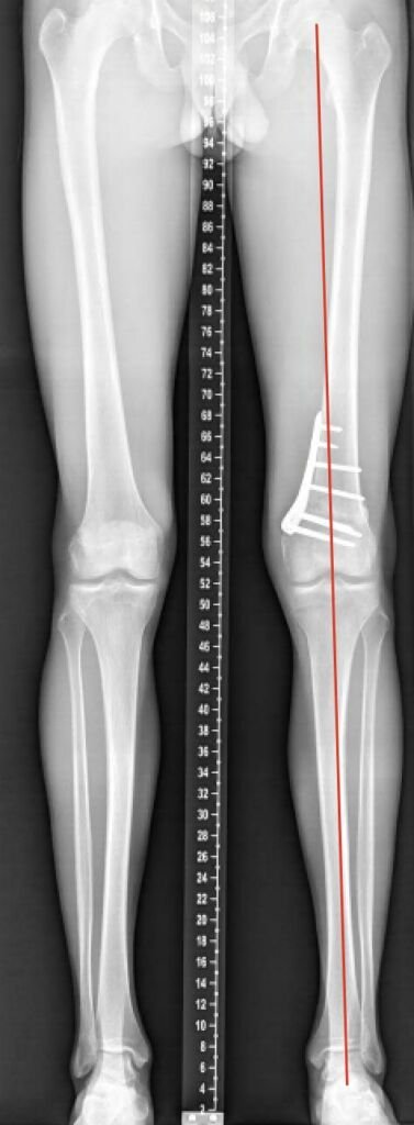
Valgus

Post-operatieve foto na een gesloten wig femur osteotomie.
Het bot wordt ook hier ingezaagd tot het scharnier (1), maar in plaats van het maken van een opening wordt er nu een wig uitgehaald (2). De wig wordt gesloten en de correctie op zijn plek gehouden door de plaat (3).
Slope

Post-operatieve foto na een slope correctie.
De operatie bestaat uit 3 belangrijke stappen: 1.De aanhechting van de patella pees wordt met een bot blok losgemaakt en omhoog geklapt. 2. Vanaf de voorkant wordt een wig uit onderbeen gezaagd. De wig wordt daarna gesloten. 3. Alles wordt vastgemaakt met 3 schroeven en 2 krammen.
Nabehandeling
Nabehandeling is vaak functioneel, dwz het been en de knie mogen direct belast en gebruikt worden. In situaties waarbij de aanhechting van de knie schijf pees losgemaakt is (zie de slope correctie) of er een uitgebreide band reconstructie gedaan is, zal voor een aantal weken een afneembare spalk gedragen moeten worden. De operatie gebeurt in dagbehandeling. Op het spreekuur vooraf en direct na de operatie zal ik de nabehandeling op uw situatie toegespitst bespreken.
In zijn algemeenheid valt te zeggen dat de 1e paar weken het vervelendst zijn. Een stands correctie is eigenlijk een heel gecontroleerd gemaakte bot breuk. Het staan op botbreuken doet pijn. Er is pijn en zwelling door de operatie, de botbreuk. In de eerste paar weken na de operatie is het belangrijk een goede hoeveelheid pijnstillers te gebruiken, zodat comfortabel geoefend kan worden. Zodra het kan (en mag) is het goed om op een hometrainer te gaan zitten om de bewegelijkheid in de knie weer terug te krijgen. Controle röntgen foto’s worden gemaakt om de bot-genezing te volgen. Afhankelijk van wat er precies gedaan is mag na 6 weken deel belasting, in de weken daarna de knie langzaam weer volledig belast worden. Totale herstel tijd is een aantal maanden, zeker 6, maar vaak nog wel langer.
Met zorg uitgevoerd door onze specialisten
Succesverhalen
“Ik wilde gewoon weer kunnen sporten — en Jacco begreep dat meteen.” Sport is voor mij altijd de rode draad geweest. Vanaf mijn zevende stond ik op de atletiekbaan, later kwamen fitness, boksen, hyrox ...
Tom (52) had al jaren last van zijn knieën. Als veel reizende professional met een jong gezin was structureel sporten lastig. De klachten begonnen rond zijn veertigste en namen toe: stijve knieën, pijn bij ...
Barbara Admiraal- van Meer (54) – Van turbulentie naar vrijheid Als klein meisje wist ze het al: ze wilde later stewardess worden. Geïnspireerd door een tante die vloog bij Martinair, volgde haar voorbeeld en ...





